TBDC新宿で人気
コラボ矯正

【All in 税込】検査料・調整料・リテーナーも含まれた税込料金です。

 コラボ矯正は、院内分割も一括払い・Dentalクレジット払いと同一料金になっております

 コラボ矯正は3月~以上のように料金変更いたします。

【矯正10,000円OFFクーポン】は新規の方のみご利用いただけます。

コラボ矯正とは?

 ワイヤー矯正とマウスピース矯正の2種類の矯正治療を組み合わせたコラボ治療です。

 ワイヤー矯正とマウスピース矯正、それぞれの得意な歯の動きを組合わせることで治療効率に優れています。

【治療期間が短い】【治療結果が良好】【費用を抑えられる】というメリットがございます。

 ワイヤー矯正をメインに歯を移動させます。その後にマウスピース矯正で最終調整、完成度を高めます。

1.治療期間    

2.仕上がり・結果

3.費用

 ワイヤー矯正単独またはマウスピース矯正単独の治療よりも短期間で完成度が高い矯正治療をおこなえます。

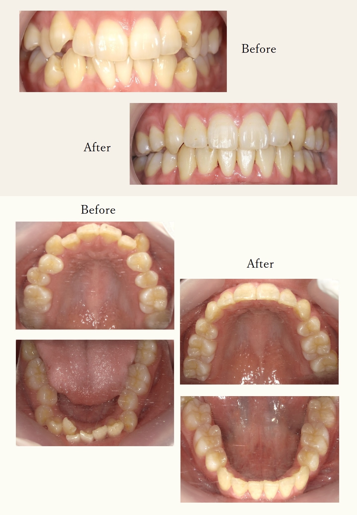
※この症例は短期間で終了しましたが、通常は抜歯矯正なら更に約1年は治療期間が長くなる傾向がございます。

 ホワイト表側矯正とマウスピース矯正のコラボ矯正。上下左右の小臼歯を抜歯。

治療期間:1年6ヶ月で終了

 内訳:ワイヤー矯正 1年3ヶ月

    マウスピース6個 3ヶ月

治療費:総額600,000円(税込)

 治療費は検査料・調整料・リテーナー含むAll in 料金

1.あらゆる歯並びに対応

2.完成度が高い

3.歯の動きが確実

4.短期間

5.低価格

 コラボ矯正はワイヤー矯正とマウスピース矯正を組合わせることで、あらゆる歯並びに対応できます。コラボ矯正の治療の流れに沿って、解説していきます。

【コラボ矯正の流れ】

 コラボ矯正は通常はワイヤー矯正の後に、マウスピース矯正の順番で治療いたします。

 歯並びが複雑で、最初から全ての歯にワイヤー矯正の装置が付けられない場合は、最初にマウスピース矯正でワイヤー矯正の装置が付けられる状態にしてから、ワイヤー矯正に移行します。最後にマウスピース矯正で仕上げます。

 左右の2番目の前歯が奥に位置し、ワイヤー矯正のブラケットという装置を歯に付けられず、ワイヤーを通すスペースもございません。

 この場合は最初にマウスピース矯正で、ワイヤー矯正ができる状態まで歯を移動します。

 矯正治療の最終的な仕上げは、マウスピース矯正の方が簡単で優れています。

 コラボ矯正は、3Dデジタルで理想の歯並び・咬み合わせをシミュレーションしたマウスピース矯正で治療を仕上げます。

マウスピース矯正で

【完成度を高めた例】

 ワイヤー矯正よりもマウスピース矯正の方が、治療の完成度を高めるのが簡単です。

 マウスピース矯正に移行前に残っていた前歯の傾きを、マウスピース矯正で簡単に改善できます。

 マウスピース矯正に移行前に残っていた前歯の段差を、マウスピース矯正で簡単に改善できます。

 コラボ矯正で使用するマウスピース矯正では、歯を確実にコントロールするために、1個のマウスピースで歯を0.3~0.4㎜ずつ歯を移動させていきます。

【マウスピース使用法】

・1日20時間装着

・患者様ご自身で2週間で交換して進めていきます。

 マウスピース矯正単独では無理な歯の移動も、ワイヤー矯正を組合わせるので可能です。

 ワイヤー矯正でシッカリと歯を動かしてから、マウスピース矯正に移行します。

 ワイヤー矯正・マウスピース矯正、それぞれの得意な歯の動きを効率的に組み合わせ、無駄がない歯の動きで、治療期間が短くなります。

 コラボ矯正では、ワイヤー矯正で最も技術と時間を費やす最終の調整段階を、デジタルのマウスピース矯正で簡単に治します。

 そのため通常のワイヤー矯正よりも数カ月~1年、治療期間を短期間に短縮できます。

 ワイヤー矯正の単独治療では最終の微調整の段階で少しずつワイヤーを曲げるなど、歯科医師の手間がかかり診療回数が増えて、その分の費用が高くなります。

 マウスピースの単独矯正ではマウスピースの個数が多くなり、その分の製造コストが高くなります。

 コラボ矯正は、ワイヤー矯正の診療回数が少なく、マウスピースの個数が少ないので治療費が安くて済みます。

1.ホワイト表側コラボ矯正

 上下とも目立たない白いブラケットの表側矯正とマウスピース矯正のコラボ治療です。

 コラボ矯正は、院内分割も一括払い・Dentalクレジット払いと同一料金になっております。

【All in 税込】検査料・調整料・リテーナーも含まれた税込料金です。

 表側コラボ矯正は3月~以下のように料金変更いたします。

 コラボ矯正を頭金0円がご希望ならDentalクレジット(ローン)がオススメです。

2.ハーフリンガル・コラボ矯正

 上は見えない裏側矯正のはハーフリンガル・コラボ矯正も人気です。

 上は裏側矯正、下は目立たない白いブラケットの表側矯正とマウスピース矯正のコラボ治療です。

 ハーフリンガル・コラボ矯正の裏側矯正は世界最小サイズで快適なクリッピーLを使用します。

 コラボ矯正は、院内分割も一括払い・Dentalクレジット払いと同一料金になっております。

こちらのキャンペーンの料金は学割・早割の対象外になっております。

 ハーフリンガル・コラボ矯正は3月~以下のように料金変更いたします。

【矯正10,000円OFFクーポン】は新規の方のみご利用いただけます。

 TBDC新宿院のコラボ矯正以外の矯正治療は【TOPページ】から

ネット予約・TEL

こちらのネット予約からも【新規カウンセリング】【検査】のご予約が可能です。

アクセス

 コラボ矯正が完成度が高い、短期間、低価格な理由を3分の動画で解説しております。

完成度が高いコラボ矯正

 コラボ矯正の最終段階のマウスピース矯正はインビザラインではございませんが、3Dデジタルで理想の歯並びをシミュレーションし、完成度を高めます。

段差のないキレイな歯並びに

 ワイヤー矯正の後、前歯に少し段差が残っても3Dデジタル・マウスピース矯正で、段差のない真っ直ぐな前歯をシミュレーションし補正します。

垂直に近い前歯に

 ワイヤー矯正の後、前歯が斜めに傾いていても、3Dデジタル・マウスピース矯正で、垂直に近い前歯にシミュレーションし補正できます。

左右対称な歯列アーチに

 ワイヤー矯正の後、歯列のアーチが歪んでいても、3Dデジタル・マウスピース矯正で左右対称にシミュレーション、修正します。

上下の正中を合わせる

 歯列のアーチの歪みを補正することで、上下の正中を合わせることができます。

シッカリと咬めるように

 3Dデジタル・マウスピース矯正で前歯も左右の奥歯もシッカリと咬めるようにシミュレーションします。場合によっては歯にボタンを付けて顎間ゴムを併用します。

短期間・低価格な納得の理由

通常のワイヤー矯正より短期間

 コラボ矯正では、ワイヤー矯正で最も技術と時間を費やす最終の調整段階を、デジタルのマウスピース矯正で簡単に治します。

 そのため通常のワイヤー矯正よりも数カ月~1年、治療期間を短期間に短縮できます。

 ワイヤー矯正とマウスピース矯正、それぞれの得意な歯の移動を無駄なく組み合わせることで、早く簡単に効率よく矯正治療を終わらせることができます。

ワイヤー矯正は治療初期で歯を大きく動かすのに優れている

 コラボ矯正は、治療の初めにワイヤー矯正で大きく歯を動かして、歯並びのガタガタを直し歯列をキレイなアーチの形に整えます。

 ワイヤー矯正では、形状記憶ワイヤーを使用して歯並びのガタガタを直します。

 形状記憶ワイヤーは、歯並びが悪い箇所に付けると歪みますが、自動で元の歯列アーチの形に戻ろうとします。この力を利用して歯を真直ぐに整えます。施術者がワイヤーを曲げるなど力を加えず、数カ月で勝手に真直ぐになっていきます。

マウスピースを矯正は最後の微調整に優れている

 コラボ矯正のマウスピース矯正は、3Dデジタルでシミュレーションします。

 マウスピースは1日20時間使用し、患者様ご自身で2週間で交換していくだけで、簡単にシミュレーションどおりに矯正できます。

 最後までワイヤー矯正の単独で治療する場合、最後の微調整に少しづつワイヤーを曲げるなど高度な技術が必要です。ワイヤーを少しづつ何度も曲げて調整するので、最後の微調整に施術回数が増えて治療期間も長くなります。

 全てをマウスピース矯正の単独で治療する場合、1個のマウスピースで歯を移動できる距離が0.3~0.5㎜と限界があるので、マウスピースの個数が増え、治療期間が長くなります。

 さらにマウスピースの個数が増えると、実は1個のマウスピースでも微妙な誤差が生じているので、誤差も大きくなります。

 仮に1個のマウスピースで1%の誤差が生じるとした場合、30個のマウスピースで26%以上の誤差が生じる計算になります。

 ここまで誤差が大きくなると適合が悪くなり、一度中断して全てのマウスピースを作り直す必要があり、さらに治療期間が長くなります。

コラボ矯正なら治療期間が短い

 コラボ矯正なら、ワイヤー矯正で素早く歯を大きく動かし、マウスピースで微調整します。

 それぞれの優れた歯の移動を効率よく組み合わせるので短期間です

 ワイヤー矯正で最後の微調整までおこなうと、施術回数が増えて、その分歯科医師や歯科衛生士の人件費というコストが増えます。

 コラボ矯正は、ワイヤー矯正の施術回数が少ないので治療費を安くできます。

 また、全てをマウスピース矯正にした場合、マウスピースの個数が増えて、その製造のコストが増えます。

 コラボ矯正は、マウスピースの個数が少ないので、その分費用を抑えられます。

TBDC新宿院

アクセス・MAP

〒160-0023

東京都新宿区西新宿7-2-5

TH西新宿ビル7F

(1F:エクセシオール・カフェのビル)

診療日時

【土曜・日曜も診療】

 平日   11:00~13:00 15:00~20:00

土曜・日曜 11:00~16:00

休診日:祝日

ネット予約・TEL